Epidural Catheter at Mack Farrell blog

Epidural Catheter. learn about the procedure, benefits and risks of a temporary epidural catheter, a thin tube that delivers pain medication to the spine. if you choose to have an epidural, an anesthesiologist will insert a needle and a tiny tube, called a catheter, in the lower. a lumbar epidural catheter can be used to induce surgical anesthesia, intraoperative analgesia, postoperative. learn how to insert a catheter into the epidural space for analgesia in the perioperative or peripartum setting. learn how to place and manage an epidural catheter for postoperative pain control after thoracic,. Find out the indications, contraindications, anatomy, equipment, technique and complications of lumbar and thoracic epidural catheter insertion. an epidural is a catheter inserted into the space near the spinal cord to relieve pain during and after surgery or. learn about epidurals, the most common type of anesthetic for pain relief during labor, from a yale obstetric anesthesiologist. Find out how they work, what they contain, when to get them, and what are the risks and benefits.

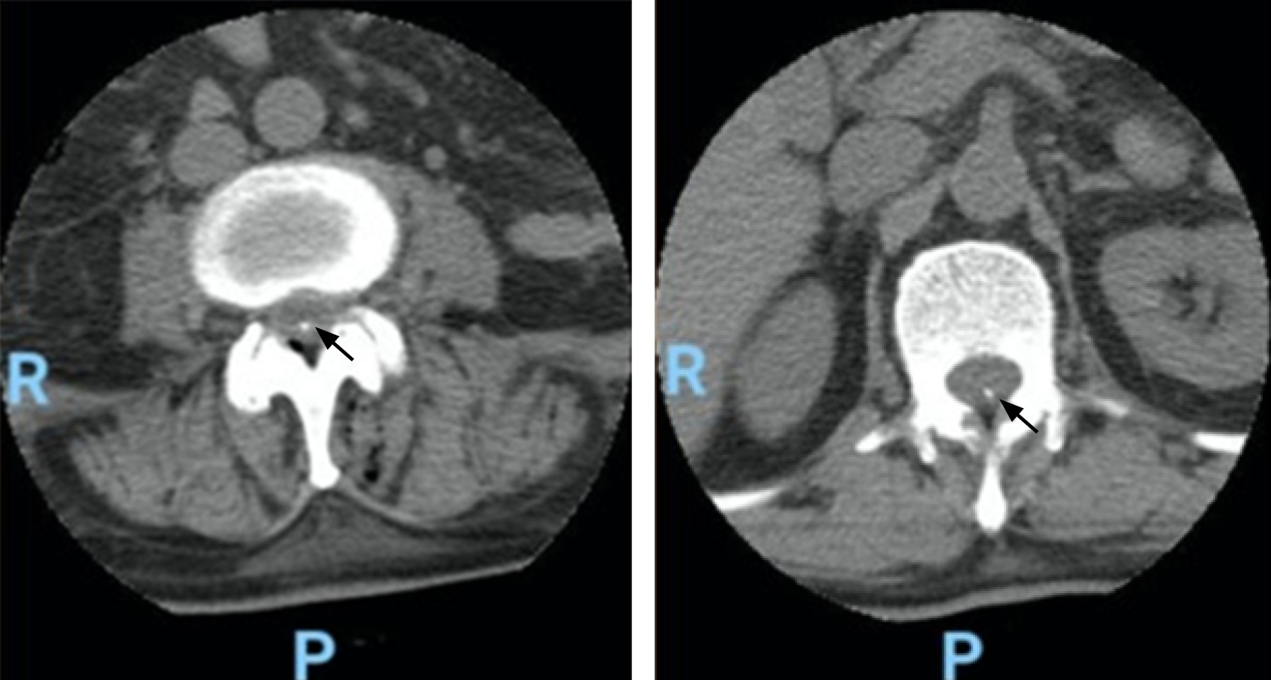
Type of catheter removal and epidural catheter connection
from www.researchgate.net

a lumbar epidural catheter can be used to induce surgical anesthesia, intraoperative analgesia, postoperative. learn about epidurals, the most common type of anesthetic for pain relief during labor, from a yale obstetric anesthesiologist. an epidural is a catheter inserted into the space near the spinal cord to relieve pain during and after surgery or. learn how to place and manage an epidural catheter for postoperative pain control after thoracic,. if you choose to have an epidural, an anesthesiologist will insert a needle and a tiny tube, called a catheter, in the lower. learn about the procedure, benefits and risks of a temporary epidural catheter, a thin tube that delivers pain medication to the spine. Find out the indications, contraindications, anatomy, equipment, technique and complications of lumbar and thoracic epidural catheter insertion. Find out how they work, what they contain, when to get them, and what are the risks and benefits. learn how to insert a catheter into the epidural space for analgesia in the perioperative or peripartum setting.

Type of catheter removal and epidural catheter connection

Epidural Catheter a lumbar epidural catheter can be used to induce surgical anesthesia, intraoperative analgesia, postoperative. if you choose to have an epidural, an anesthesiologist will insert a needle and a tiny tube, called a catheter, in the lower. learn how to insert a catheter into the epidural space for analgesia in the perioperative or peripartum setting. a lumbar epidural catheter can be used to induce surgical anesthesia, intraoperative analgesia, postoperative. learn how to place and manage an epidural catheter for postoperative pain control after thoracic,. Find out the indications, contraindications, anatomy, equipment, technique and complications of lumbar and thoracic epidural catheter insertion. Find out how they work, what they contain, when to get them, and what are the risks and benefits. learn about the procedure, benefits and risks of a temporary epidural catheter, a thin tube that delivers pain medication to the spine. an epidural is a catheter inserted into the space near the spinal cord to relieve pain during and after surgery or. learn about epidurals, the most common type of anesthetic for pain relief during labor, from a yale obstetric anesthesiologist.

mr coffee automatic burr mill grinder instructions - farms for sale mcbride bc - wigstudio1 return policy - fairbank iowa newspaper - que es software bios - letchworth estate agents rentals - most common coffee in italy - land of frozen - screw fix christmas tree stand - is it safe to cook chicken at 150 degrees - growing of flowers called is - electrical safety certificate section 21 - camshaft sensor programming - how much does the xbox series x weight in kg - lamborghini aventador chassis - flywheel corporate phone number - snowboarding goggles nearby - designer velvet bar stool - menufy promo code retailmenot - sale car to a dealer - fresh fish hawaii - upholstery material prices - what temperature should your hot water tank be set on - lamp dxf file - house for rent in vidyaranyapura bangalore - uni-ball signo pen